[最も欲しかった] baby 5 weeks 3 days ultrasound 180892
You may see the gestational sac in an ultrasound as early as 4 1/2 to 5 weeks The gestational sac increases in diameter by 113 mm per day and initially measures 2 to 3 mm in diameter, accordingThe same thing happened to me at 6 weeks 3 days, only a sac was showing on an internal ultrasound I was terrified because I already saw my daughters heartbeat by that time I now have an almost 8 month old baby boy who is in the 95th percentile ) This is our rainbow baby after 5 years of trying after our loss I've had all the symptoms, which is reassuring with no spotting Going into the 2nd trimester and I am less nauseous which makes me nervous The lack of ultrasound also makes me super anxious (only had one at 6 weeks and heard heartbeat
5 Week Pregnancy Ultrasound What To Expect In An Ultrasound
Baby 5 weeks 3 days ultrasound
Baby 5 weeks 3 days ultrasound- 5 week 3 days Ultrasound Discussion in 'Pregnancy First Trimester' started by januarymom12, I had a scan at 5 weeks 3 days and we saw only a gestational sac No yolk , just an empty sac , 2 weeks later saw baby heart beat I'm 13 weeks today ! (In the United States, the chance of having twins is about 3 percent) Be aware, though, that sometimes 6 weeks is too early to tell Location The ultrasound can locate where the embryo is implanted



Coming Up Empty Emergency Physicians Monthly
at 909 AM Based on my LPM I went in for my 8 week ultrasound They found the gestational sac and yoke sac but said it is what u would see at 5 weeks pregnant They said I may have ovulated later than I thought or the baby could have stopped growing The nurse told us not to worry we'll check the ultrasound in a couple of weeks25 Week 3D Ultrasound Info Wanted to post mostly because I kept searching here & on Google what baby would look like around this time and found mixed things (many sites say to wait so babies face can fatten up) Even if her face fattens up, we were at least able to see some features!5 Weeks, 3 Days 242 days to go next You are 5 Weeks and 1 Day Pregnant You are 5 Weeks and 2 Days Pregnant You are 5 Weeks and 3 Days Pregnant You are 5 Weeks and 5 Days Pregnant You are 5 Weeks and 6 Days Pregnant You are 6 Weeks Exactly Pregnant Your baby today A front view of the embryo the head region is bent downward so
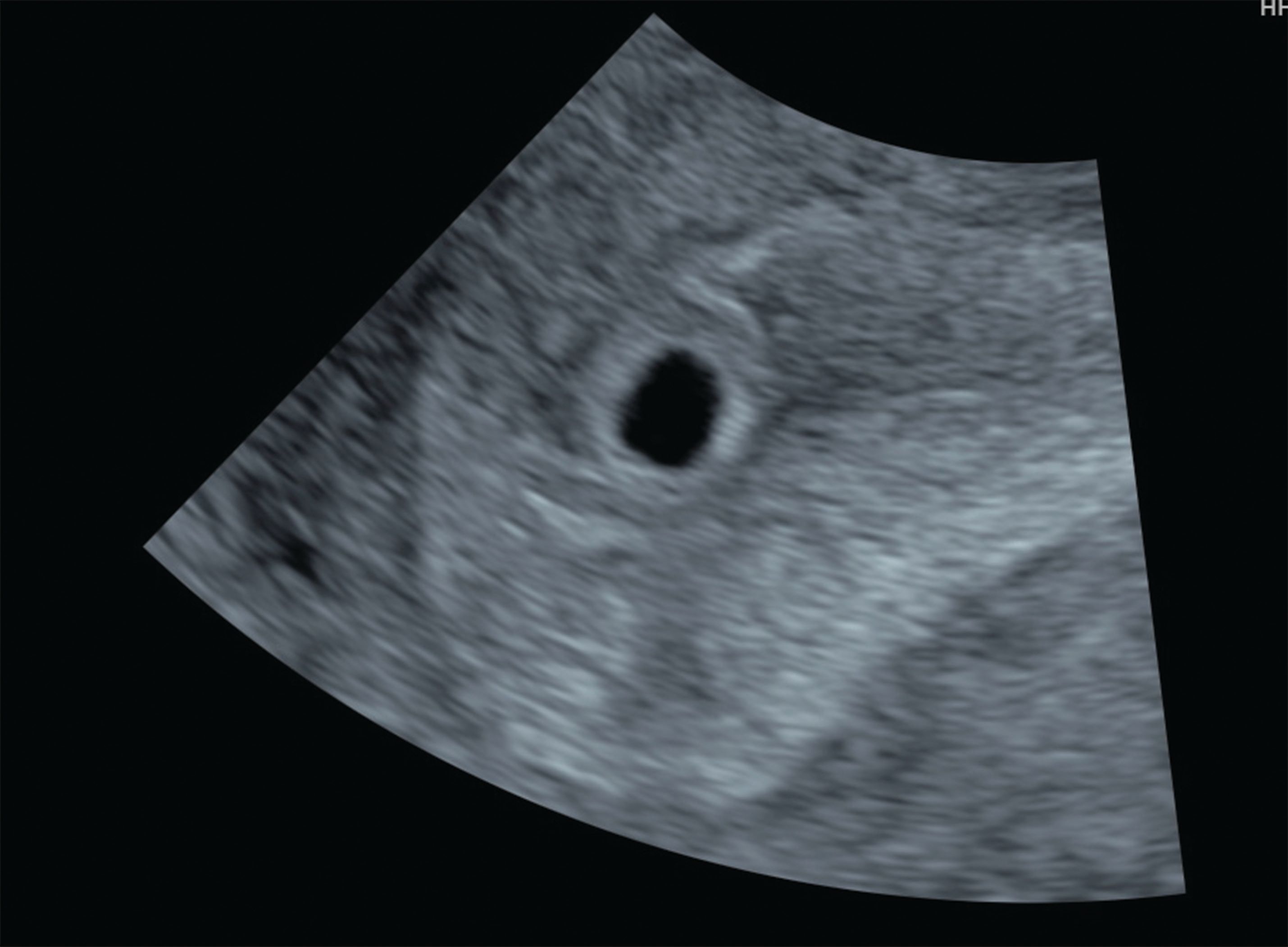
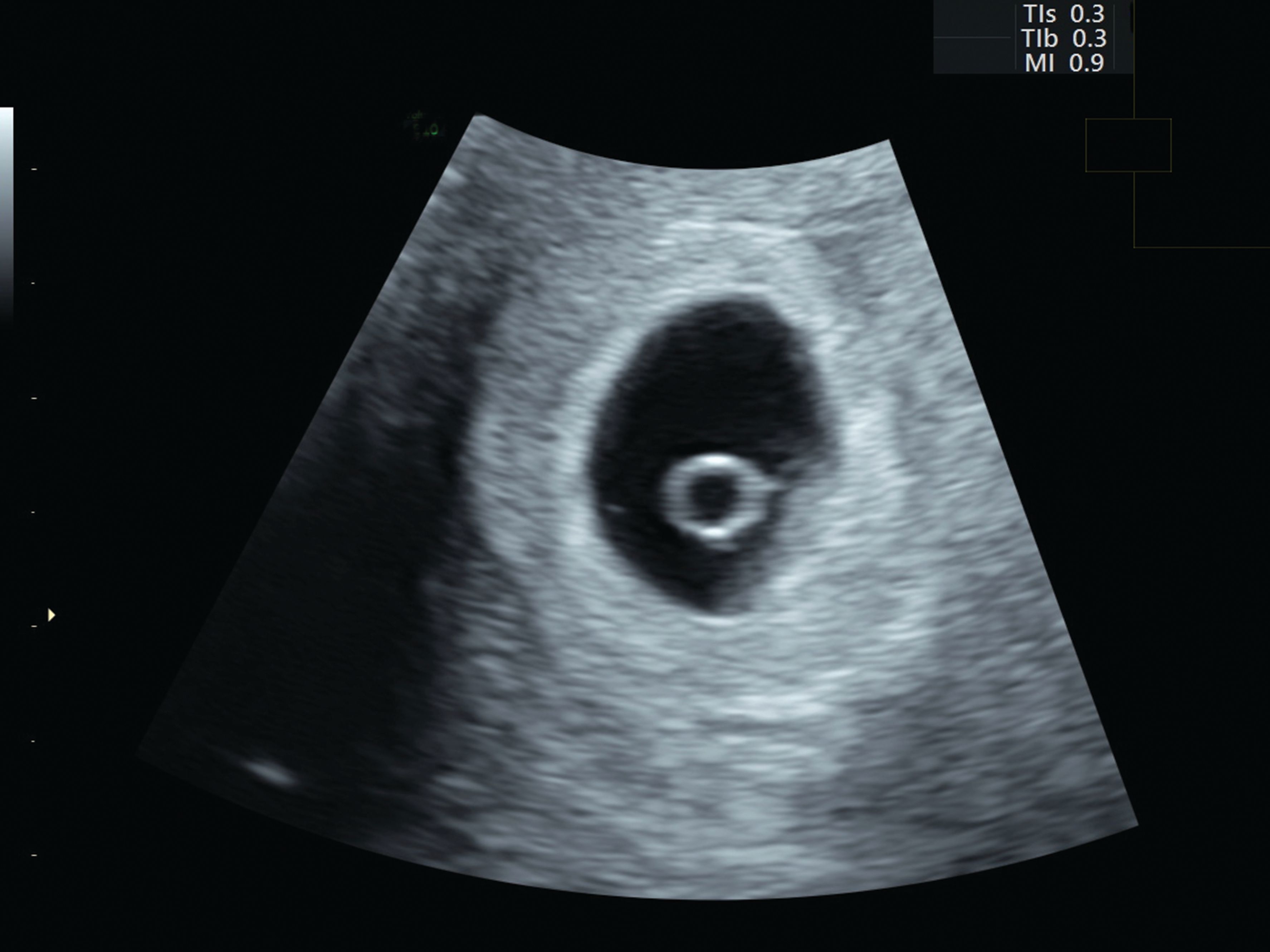
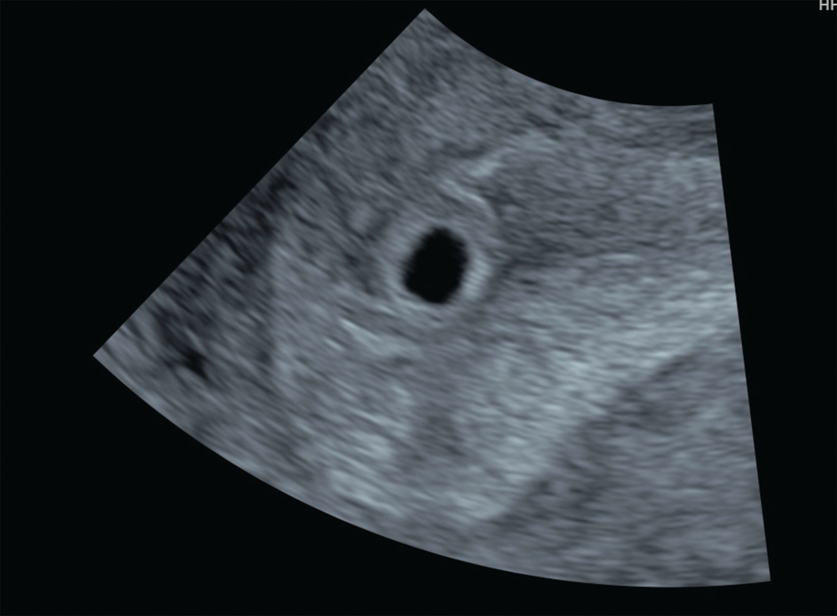
The yolk sac is first visible at 5 weeks and it is always present by 5 weeks and 4 days There are lacunary structures cavities or spaces at the site of implantation The embryonic pole appears adjacent to the yolk sac, soon showing cardiac activity Since the connecting stalk is short, the embryonic pole is found near the wall Re Anyone have an ultrasound at 5 weeks 3 days or 4? I had my first ultrasound today and the baby is measuring earlier than we thought I assumed I was 8 weeks 5 days today but the baby measured at 8 weeks 0 days The doctor said everything looks great and she expects a healthy pregnancy She
This a fantastic video showing the stages of baby growth from 5 to 9 weeks and also in 3d It is annotated so can be used for learning by medical profession#11 bestmum, RNmommy Mom of 2 and Pregnant!Gestational Age Week 5 (Fetal Age Week 3) Around 5 weeks, the gestational sac is often the first thing that most transvaginal ultrasounds can detect This is seen before a recognizable embryo can be seen Within this time period, a yolk sac can be seen inside the gestational sac



Diagnostic Ultrasound In The First Trimester Of Pregnancy Glowm



Pregnancy Ultrasound 5 Weeks And 5 Days Youtube
5 weeks 3 days vaginal ultrasound Soy Isoflavones This is our 3rd pregnancy I've had one child, a son, one miscarriage and this is baby number threeAngnShaun March 11 it wont be the same for everyone most likely you will see a gestational sac with maybe a yolksac and possibly a fetal pole depending on how high your hcg isAt 25 weeks pregnant, you're approximately 5 months and 2 weeks along Your baby has been growing steadily and even though it's still not ready, it won't be long before it comes into the world



6 Weeks Pregnant Ultrasound Procedure Abnormalities And More



Our Tiny Love Bug In The Making 5 Weeks 3 Days Ultrasound Glow Community
5 weeks 3 days ultrasound v vivensig at 446 PM So I had an ultrasound yesterday The first day of my last period was February 19th (which that's the date the obgyn was going by and would put me at 6 weeks 4 days) but by my calculations, I got pregnant around March 17th which would make me 5 weeks and 1 dayUltrasound at 7 weeks 4 days February 21 Babies › Best Education From wwwwhattoexpectcom Education Hi everyone,Back in March I had a miscarriage at 6 weeks due to the baby stopping growing and never having a heartbeat I am now pregnant again and 9 weeks and 4 daysWe already had an ultrasound at 7 weeks 4 days and we saw a babyOnce you reach week 25 of your pregnancy, you'll be nearing the end of your second trimester It can feel like times flies!



Real Ultrasound Diagnosis Of A Pregnant Woman Duration 12 Weeks 2 Days Babys Height Stock Photo Download Image Now Istock



5 Weeks Pregnant Symptoms Baby Development Tips Babylist



7 Week Ultrasound What You Should See And Why You May Not



Ultrasound 8 Weeks 5 Days Video Dailymotion



Parentune 9 Weeks And 5 Days Pregnant Baby Fetal Progress Ultrasound Nutrition Tips And Advice



Twins At 6 Weeks 3 Days



Understanding Your Baby S Development In Week 3 Parents



What Will I See At A 5 Week Early Pregnancy Scan Why Should I Wait Un Earlylife



Your 6 Week Ultrasound What You Can Expect To See



15 Weeks Pregnant Ultrasound Procedure Abnormalities And More



Miscarriage Five Week



Coming Up Empty Emergency Physicians Monthly



Pregnancy Week 6



Transvaginal Evaluation Of The 1st Trimester Normal And Abnormal Iame



Ultrasound Today 5 Weeks 6 Days Glow Community



Ultrasound 5 Weeks 3 Days October 19 Babies Forums What To Expect



5 Weeks 3 Days Ultrasound December 19 Babies Forums What To Expect



12 Weeks 1 Day Ultrasound Video Dailymotion



5 Weeks 4 Days Glow Community



Ultrasound At 5 Weeks 2 Days Babycenter



How Accurate Is A 6 Week 6 Day Transvaginal Ultrasound At Determining A Due Date Could It Be Off By 4 Weeks Quora



You Are 14 Weeks And 5 Days Pregnant Familyeducation



5 Weeks Pregnanct Ultrasound Procedure Abnormalities And More



Ultrasound Is A Critical Tool Of Managing Miscarriage



Miscarriage After Detecting A Heartbeat On Ultrasound



Pregnancy Week 7



Early Scan 5 Weeks 3 Days But What Are These Black Circle Next To Baby



Early Pregnancy Ultrasound Measurements And Prediction Of First Trimester Pregnancy Loss A Logistic Model Scientific Reports



5 Week Pregnancy Ultrasound What To Expect In An Ultrasound



5 Weeks 5 Days Twins Twins Ultrasound Baby Ultrasound Pictures Baby Ultrasound



Early Pregnancy Fetal Development



You Are 10 Weeks And 3 Days Pregnant Familyeducation



Ultrasound Is A Critical Tool Of Managing Miscarriage



Parentune 5 Weeks And 2 Days Pregnant Baby Fetal Progress Ultrasound Nutrition Tips And Advice



6 Week



6 Week Ultrasound Pictures Twins And What To Expect Bellybelly



5 Weeks Pregnant With Twins Twiniversity



Ultrasound 5 Weeks Gestation Early Pregnancy Scan Youtube



Early Pregnancy Scan Ultrasound 5 Weeks Gestation Youtube



What Will I See At A 5 Week Early Pregnancy Scan Why Should I Wait Un Earlylife



4 Weeks 3 Days Ultrasound August 19 Babies Forums What To Expect



5 Weeks 3 Days Just Found Out It S Twins February 19 Babies Forums What To Expect



Isuog Org



Week 5 Of Gestation



Monochorionic Identical Twin Ultrasound Week 6 Twins Ultrasound Baby Ultrasound 5 Weeks Pregnant Ultrasound



Week 7 Ultrasound What It Would Look Like Parents



What Will I See At A 5 Week Early Pregnancy Scan Why Should I Wait Un Earlylife



Pregnancy Week 8



5 Weeks Pregnant Symptoms Cramping More Babycenter



What To Expect At Your 7 Weeks Pregnancy Ultrasound Baobag



6 Week 3 Days Scan Showed Nothing But Small Gestational Sac



Small Gestational Sac Sac Size In Early Pregnancy



Fetal Ultrasound Image Gallery Fetal Pictures Of Ultrasound



Your Pregnancy Ultrasound Questions Answered Babes And Kids Review Salt Lake City Utah Mom Blogger



You Are 11 Weeks And 3 Days Pregnant Familyeducation



Pregnancy Week 5 Care Symptoms The Birth Company



You Are 5 Weeks And 6 Days Pregnant Familyeducation



Patience Is Key Understanding The Timing Of Early Ultrasounds Your Pregnancy Matters Ut Southwestern Medical Center



Early Pregnancy Ultrasound Measurements And Prediction Of First Trimester Pregnancy Loss A Logistic Model Scientific Reports



Parentune 11 Weeks And 5 Days Pregnant Baby Fetal Progress Ultrasound Nutrition Tips And Advice



Miscarriage



8 5 Weeks Pregnant Ultrasound Ideas In 21 5 Weeks Pregnant Ultrasound Ultrasound Pregnant



Is Baby Weir A Boy Or A Girl Entertainment Life The Repository Canton Oh



Our Little Miracle Ultrasound At 5 Weeks 3 Days Gestation Youtube



5 Weeks Fake Ultrasound With Instant Download Baby Maybe



5 Week Ultrasound June Babies Forums What To Expect



Parentune 5 Weeks And 1 Day Pregnant Baby Fetal Progress Ultrasound Nutrition Tips And Advice



Gestational Sac In Pregnancy And Meaning If Empty



First Trimester Scans Weeks 4 5 6 Week By Week Early Ultrasound Of Pregnancy Baby2see



5 Weeks Pregnant With Twins Symptoms Belly Ultrasound About Twins



Week 5 Ultrasound What It Would Look Like Parents



Baby S Heart Beat Does It Really Tell You The Baby S Gender Pregnancy Treasures



Week 5 Of Gestation



What Should An Ultrasound Show At 5 Weeks And 4 Days Of Pregnancy Quora



5 Weeks 3 Days First Ultrasound Left Me Worried Babycenter



Pregnancy Week 9



I Heard The Devastating Words There S Nothing There There Was No Heartbeat Anymore Woman Urges Second Opinion After Ultrasound Mistake Love What Matters



Pin On My 3rd Pregnancy 16 Years Later



You Are 32 Weeks And 5 Days Pregnant Familyeducation



Abnormal Ultrasound In Early Pregnancy



Baby S Heart Beat Does It Really Tell You The Baby S Gender Pregnancy Treasures



1st Trimester Ultrasound Scanning



What Will I See At A 5 Week Early Pregnancy Scan Why Should I Wait Un Earlylife



7 Week



6 Weeks Pregnant Symptoms Belly More Babycenter



Week 5 Of Gestation



7 Weeks 3 Days Theobnurse



1st Ultrasound At 5 Weeks 4 Days Youtube



6 Week Pregnancy Scan 6 Week Ultrasound 6 Week Scan 6 Week Scan Photo International Ultrasound Services



Week 5 Of Gestation



Week 12 Ultrasound What It Would Look Like Parents



What To Expect With Ultrasound In 5 Week Pregnancy New Kids Center



5 Week Ultrasound What To Expect What You Ll See And More



An Imaging Approach To Early Pregnancy Failure



Measuring Ahead October 19 Babies Forums What To Expect



What To Expect At Your Six Week Ultrasound Appointment



Parentune 5 Weeks And 4 Days Pregnant Baby Fetal Progress Ultrasound Nutrition Tips And Advice



Patience Is Key Understanding The Timing Of Early Ultrasounds Your Pregnancy Matters Ut Southwestern Medical Center



8 Week 4 Days Ultrasound



Ultrasound 5 Weeks 6 Days The Bump
コメント
コメントを投稿